Estética Dental en Puerto de Alcúdia


Diseñamos sonrisas naturales y armoniosas

En Clínica Dental Delgado Bustamante, en Puerto de Alcúdia (Mallorca), somos especialistas en estética dental. Nuestro objetivo es ayudarte a conseguir una sonrisa bonita, saludable y natural, combinando ciencia, precisión y arte.

La odontología estética no se trata solo de belleza, sino también de armonía facial y bienestar emocional. Una sonrisa cuidada transmite seguridad, confianza y bienestar.

Contamos con un equipo con amplia experiencia en carillas dentales, blanqueamiento, diseño digital de la sonrisa y restauraciones estéticas. Utilizamos las técnicas más avanzadas y materiales de máxima calidad para lograr resultados que mejoran tu sonrisa sin alterar su naturalidad.

 

Pide tu cita

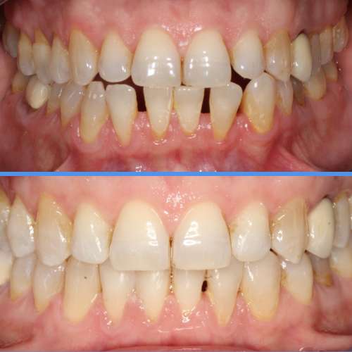
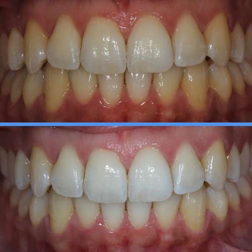
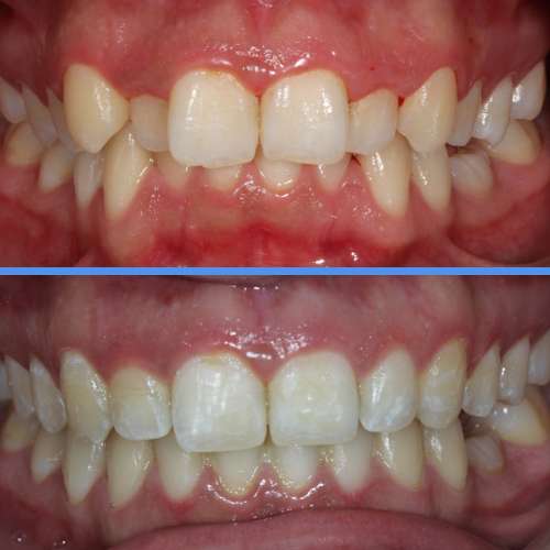
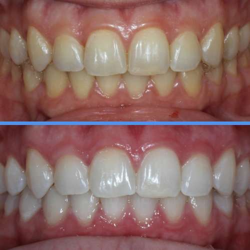
Nuestros tratamientos de estética dental


Carillas Dentales

Las carillas de porcelana o composite permiten mejorar la forma, color y alineación de los dientes de manera rápida y duradera.
Es el tratamiento ideal para quienes buscan una sonrisa más blanca, uniforme y estética sin tratamientos invasivos.

Blanqueamiento Dental

Recupera el blanco natural de tus dientes con nuestras dos opciones profesionales:

  • Blanqueamiento Philips Zoom: en clínica, con resultados visibles desde la primera sesión.
  • Blanqueamiento Ambulatorio: tratamiento en casa supervisado por nuestros especialistas.

Tu sonrisa será más brillante y saludable, con resultados seguros y duraderos.

ESTUDIO DE TU SONRISA 

En Clínica Dental Delgado Bustamante, creemos que cada sonrisa cuenta una historia. Por eso, antes de comenzar cualquier tratamiento estético, realizamos un estudio completo de tu sonrisa.

Este análisis nos permite entender la forma, el color, la simetría y la proporción de tus dientes, así como su relación con los labios y el rostro. Utilizamos tecnología avanzada como el Diseño Digital de Sonrisa (DSD), fotografías clínicas y escáneres 3D para planificar con precisión cada detalle del tratamiento.

De esta manera, podrás visualizar una simulación realista del resultado final antes de empezar, participando activamente en la creación de tu nueva sonrisa.

Nuestro equipo estudia cada caso de forma personalizada, teniendo en cuenta no solo la estética, sino también la funcionalidad y la naturalidad.

El objetivo es conseguir un resultado armónico, equilibrado y duradero, que refleje tu personalidad y realce lo mejor de ti. En nuestra clínica en Puerto de Alcúdia, diseñamos sonrisas únicas, creadas a tu medida.

Tipos de carillas dentales

  • Carillas de porcelana

    Carillas de porcelana

    Las carillas de porcelana ofrecen una estética excepcional y una durabilidad superior. Su color y brillo imitan a la perfección el esmalte natural. Son resistentes a manchas y proporcionan resultados estables durante años, ideales para transformar tu sonrisa con elegancia y naturalidad.

  • Carillas de composite

    Carillas de composite

    Las carillas de composite son una opción rápida, económica y mínimamente invasiva. Se realizan directamente sobre el diente en una sola sesión, permitiendo corregir pequeñas imperfecciones de color o forma con resultados naturales y un acabado estético inmediato.

  • Carillas sin tallado

    Carillas sin tallado

    Las carillas sin tallado dental son ultrafinas y se colocan sin modificar el diente natural. Su colocación es indolora y preserva al máximo la estructura dental, logrando una sonrisa más blanca y alineada sin procedimientos invasivos.

¿Qué es la estética dental y por qué es importante?

La estética dental es una rama de la odontología que busca mejorar la apariencia de los dientes, las encías y la sonrisa en su conjunto, respetando siempre la función masticatoria y la salud bucal.
En Clínica Dental Delgado Bustamante, evaluamos cada caso con un enfoque integral: color, forma, tamaño, alineación y proporciones dentales, para crear sonrisas personalizadas que se adapten a la fisionomía de cada paciente.

Una sonrisa equilibrada no solo mejora tu imagen, sino también tu autoestima y confianza en ti mismo. Por eso, la estética dental es uno de los tratamientos más demandados por pacientes de todas las edades.


Tratamientos de Estética Dental en Puerto de Alcúdia

En nuestra clínica ofrecemos una amplia variedad de tratamientos estéticos dentales diseñados para corregir imperfecciones y realzar tu sonrisa.
Entre los más destacados se encuentran:


1. Carillas Dentales
Las carillas dentales son finas láminas de porcelana o composite que se colocan sobre la superficie frontal del diente para mejorar su aspecto.
Permiten corregir el color, la forma, el tamaño y la alineación de los dientes de manera rápida y mínimamente invasiva.

  • Carillas de porcelana: ofrecen un resultado más duradero, resistente a manchas y con una estética excepcional.
  • Carillas de composite: una alternativa más económica, ideal para pequeñas correcciones, con resultados muy naturales.

En Clínica Dental Delgado Bustamante realizamos un estudio de sonrisa digital (DSD) para planificar el resultado final antes de empezar el tratamiento, garantizando la máxima precisión y satisfacción del paciente.


2. Blanqueamiento Dental Profesional
El blanqueamiento dental es uno de los tratamientos más populares para rejuvenecer la sonrisa. En nuestra clínica utilizamos sistemas seguros, efectivos y avalados científicamente, que permiten aclarar varios tonos sin dañar el esmalte.

Disponemos de dos opciones adaptadas a tus necesidades:

  • Blanqueamiento Philips Zoom (en clínica):
    Realizado bajo supervisión profesional, este tratamiento utiliza una lámpara de luz fría que activa el gel blanqueador, ofreciendo resultados visibles desde la primera sesión. Ideal para quienes buscan un cambio inmediato y duradero.
  • Blanqueamiento Ambulatorio (en casa):
    Consiste en férulas personalizadas y un gel de peróxido seguro, aplicados durante unos días bajo seguimiento del odontólogo.
    Es una opción cómoda y gradual para mantener el blanco de tus dientes a tu propio ritmo.

Ambos tratamientos pueden combinarse para lograr un resultado aún más duradero y brillante.


3. Contorneado y Restauraciones Estéticas
El contorneado dental es un procedimiento sencillo que corrige pequeñas irregularidades en la forma o el tamaño de los dientes, mejorando la armonía de la sonrisa sin necesidad de tratamientos complejos.
También realizamos restauraciones estéticas con composites de alta calidad, imitando el color y la translucidez del diente natural.


Diseño de Sonrisa Digital (DSD)

Gracias a la tecnología de Diseño Digital de Sonrisa, podemos mostrarte cómo será el resultado antes de comenzar el tratamiento.

Mediante fotografías y escaneado digital, analizamos tu rostro, labios y proporciones faciales para crear una simulación personalizada de tu nueva sonrisa.

Este proceso te permite participar en la planificación y visualizar cómo lucirá tu sonrisa final antes de realizar cualquier cambio permanente.


Beneficios de la Estética Dental

Optar por un tratamiento de estética dental ofrece múltiples beneficios más allá de la estética:

  • Mejora tu autoestima y seguridad personal.
  • Proporciona un aspecto más joven y saludable.
  • Corrige defectos dentales de forma rápida y poco invasiva.
  • Favorece la higiene y la salud bucodental.
  • Potencia la armonía facial y la expresión natural de tu rostro.

En Clínica Dental Delgado Bustamante, unimos experiencia, precisión y sensibilidad estética para conseguir resultados que superan las expectativas.


Tu sonrisa, nuestra pasión

Nuestro equipo te acompañará en todo el proceso, desde la valoración inicial hasta la revisión final, asegurando una experiencia cómoda y personalizada.
Cada sonrisa es única, y por eso dedicamos el tiempo y la atención necesarios para conseguir resultados naturales, elegantes y duraderos.

Si buscas una clínica de estética dental en Puerto de Alcúdia, confía en Clínica Dental Delgado Bustamante.
Te ayudaremos a redescubrir la mejor versión de tu sonrisa con tratamientos modernos, indoloros y personalizados.

Características de las carillas


Redescubre tu sonrisa con nuestras carillas dentales en Puerto de Alcúdia. En Clínica Dental Delgado Bustamante mejoramos la forma, el color y la armonía de tus dientes con tratamientos estéticos personalizados, duraderos y totalmente adaptados a tu rostro.

    • Extra finas y discretas

      Carillas ultradelgadas, del grosor de una lentilla, que se adaptan al diente ofreciendo una estética natural e imperceptible.

    • Sonrisa natural

      Tonos personalizados que igualan el color de tus dientes, logrando una sonrisa equilibrada, brillante y totalmente natural.

    • Resultados en tiempo récord

      Transforma tu sonrisa en solo dos o tres visitas, con un tratamiento rápido, preciso y mínimamente invasivo.

    • Elegidas por quienes cuidan su imagen

      Las carillas son el secreto de muchos famosos que buscan resultados inmediatos, elegantes y discretos.

    • Tallado suave y conservador

      Preparamos el diente con un tallado mínimo que asegura la fijación perfecta sin dañar su estructura natural.

    • Tratamiento cómodo y sin dolor

      El procedimiento se realiza bajo anestesia local, garantizando una experiencia indolora, segura y completamente confortable.

     

      

    CLÍNICA DELGADO BUSTAMANTE


    Email: clinicadentalesmoll@gmail.com

    Teléfono: 971 54 75 40

    WhatsApp: 638 73 03 95

    Horario:
    Lunes, miércoles y jueves
    de 10:00 a 14:00 y de 15:00 a 19:00
    Martes de 9:00 a 16:00
    Viernes de 10:00 a 14:00

    Dirección: Calle Ciutadella, 5, Puerto de Alcudia.
    CP: 07400. Illes Balears 

    PEDIR CITA

    ¿Hablamos?