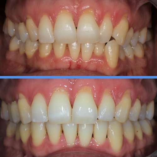
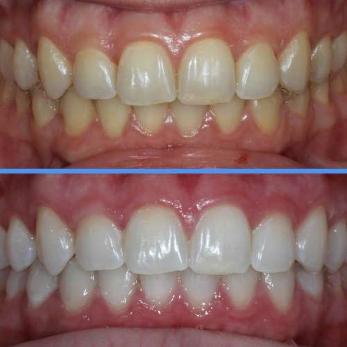
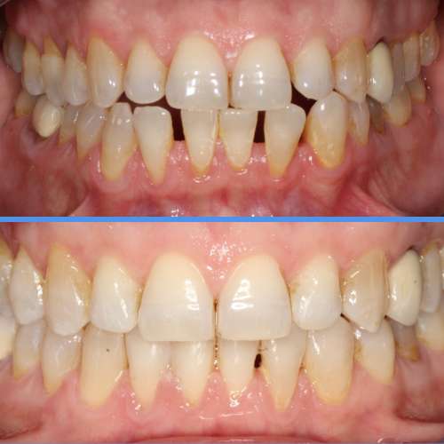
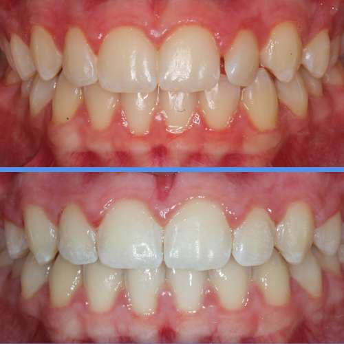
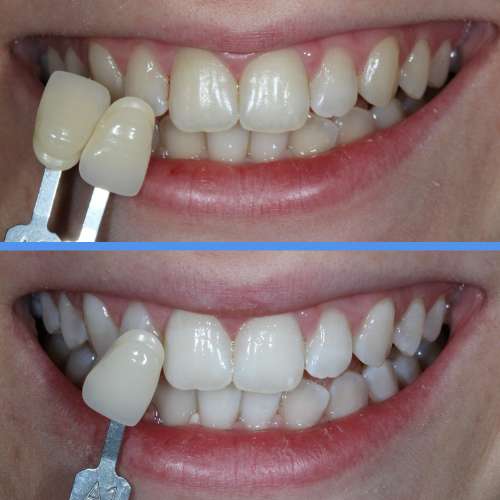
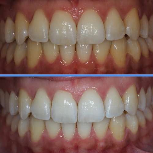
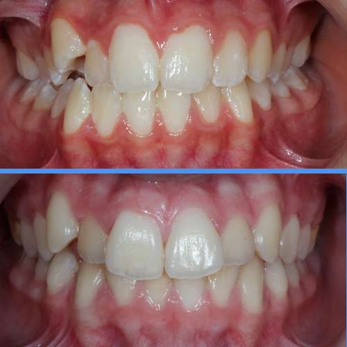
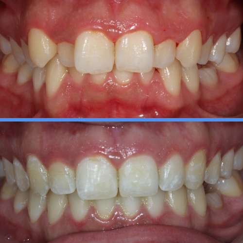
Casos reales


En Clínica Dental Delgado Bustamante queremos enseñarte la realidad. Pacientes que han pasado por nuestra clínica.

Porque una imagen vale más que mil palabras, te traemos ejemplos de casos reales que han pasado por las manos de nuestros expertos.

  • TELÉFONO

    +34 971 547 540

  • EMAIL

    clinicadentalesmoll@gmail.com

  • DIRECCIÓN

    Calle Ciutadella, 5. Puerto de Alcudia

 

  

CLÍNICA DELGADO BUSTAMANTE


Email: clinicadentalesmoll@gmail.com

Teléfono: 971 54 75 40

WhatsApp: 638 73 03 95

Horario:
Lunes, miércoles y jueves
de 10:00 a 14:00 y de 15:00 a 19:00
Martes de 9:00 a 16:00
Viernes de 10:00 a 14:00

Dirección: Calle Ciutadella, 5, Puerto de Alcudia.
CP: 07400. Illes Balears 

PEDIR CITA

¿Hablamos?